top of page


Alzheimer’s Disease and Maintaining Brain Health
Alzheimer’s disease is a neurodegenerative disorder that mainly affects older adults causing dementia. Dementia is the loss of cognitive...
Ruhama Aschalew Asfaw
Oct 25, 20233 min read


Time-Restricted Eating, the Key to a Happy Gut?
Have you noticed that despite exhausting attempts at cleaning up your diet, you still feel a little out of tune? It might be that you are...
julianlucier
Oct 12, 20236 min read


How Sudoku Can Provide Neurorehabilitation for Patients with Alzheimer's
Assessed and Endorsed by the MedReport Medical Review Board Introduction As Andrew Wiles perfectly elucidated, "Just because we can’t...
andreastone2007
Oct 6, 20235 min read


The Three Most Common Personality Disorders
Personality disorders, what are they? A personality disorder is a mental health disorder in which a person's behavior, emotion, and...
Scottie O'Melia
Oct 5, 20232 min read


Nappucinos and College Students?
Assessed and Endorsed by the MedReport Medical Review Board Caffeine napping and how is it more beneficial than other methods for college...
Asena Semseddin
Oct 4, 20236 min read


Hogeweyk: Dementia Villages
Assessed and Endorsed by the MedReport Medical Review Board Overview Cases are soaring of Dementia all over the world, with more people...
Vritika Bhuva
Oct 2, 20232 min read


Unraveling the Complex Neurobiology of Addiction
Introduction: Addiction is a chronic and complex disorder that affects millions of people worldwide. It is characterized by the...
Ruhama Aschalew Asfaw
Sep 29, 20233 min read


What Makes Us Happy?
What makes us happy? When asked this question, people, activities, and things may come to mind, but what goes on inside your brain for...
Ava Fromm
Sep 22, 20232 min read


Navigating the Rhythms of Parkinson's Disease
Parkinson’s disease is a progressive neurological condition which has a devasting impact on those affected and their family and friends....
Charlotte Sutherland
Sep 22, 20233 min read


Decoding the Mystery: Unravelling the Science of Adult Headaches
Types of headache Headaches can be quite debilitating, though not typically life-threatening conditions. Most headaches fall into one of...
Ishita Gupta
Sep 22, 20235 min read


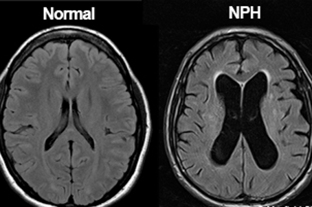
NPH: Wet, Wacky, and Wobbly!
Normal pressure hydrocephalus refers to a condition of pathologically enlarged ventricular size with normal opening pressures on lumbar...
Ishita Gupta
Sep 9, 20232 min read


Understanding the Stages of Sleep
Introduction Sleep is a necessary part of our lives, whether we like it or not. At the end of the day, we (hopefully) get the chance to...
Callie Tse
Sep 8, 20232 min read


CIPA Syndrome - "The Painless"
THE PAINLESS Do you remember the superheroes who fight for the good of mankind, protect people from evil, the one who protects the world...
Sameeksha Chandra Sekar
Sep 4, 20233 min read


The Amygdala - Navigating emotions
Introduction The amygdala is a fascinating, complex structure that lies at the center of much of our current thinking about emotion. The...
Ishwari Mulay
Aug 28, 20232 min read


What Makes You Tic?
Recently Tourette's Syndrome has received a lot of attention in the media, thanks to TikTok. Many people have come up on the platform...
Ritika Sinha
Aug 20, 20233 min read


Circadian Rhythm and the Role of Melatonin
How is it that our bodies know to fall asleep and wake up at the same time everyday? The simple answer is light (or the absence of it)....
Suzy Salinas
Aug 14, 20232 min read


Understanding Sleep Paralysis
What is Sleep Paralysis? Sleep paralysis is the sensation of feeling awake and conscious but being unable to move or speak while...
Aditi Bharambe
Aug 13, 20233 min read


Is it misbehavior or is it simply ADHD?
What is ADHD? ADHD, also called attention-deficit/hyperactivity disorder is a behavior disorder that is characterized by a combination of...
Lilia Badaoui
Jul 15, 20233 min read


What is a Lumbar Puncture?
Overview A lumbar puncture is a medical procedure used to aid in the diagnosis of neurologic diseases and disorders of the central...
Zara Rivers
Jun 21, 20232 min read


Parkinson's Disease
Parkinson's disease is a neurological disorder that affects millions of people worldwide. Find out more!
Scarlett Taylor
May 27, 20232 min read
bottom of page



